
10 minutes
The decision to undergo surgery, whether it is a planned joint replacement, a life-saving cardiac intervention, or a complex neurological procedure, is one of the most significant choices a person can make. It is a moment where health, trust, and technology intersect. For patients and their families, the priority is always the same: finding a clinical environment that guarantees surgical precision, prioritizes patient safety, and offers a compassionate pathway to recovery.
Tanisha Suvarna
For You
April 02, 2026
10 minutes

14 minutes
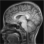
Robotic brain tumour surgery in India combines advanced technology with expert neurosurgeons to ensure precision and minimal risk. International patients benefit from shorter recovery, top hospitals, and comprehensive Karetrip support, including treatment planning, travel assistance, and post-surgery follow-up for a smooth, worry-free experience.
Tanisha Suvarna
For You
April 02, 2026
14 minutes

14 minutes
Find out why brain tumour surgery cost in India is comparatively lower than in many countries. Understand the key reasons behind cost differences, including infrastructure, expertise, and healthcare systems, while still ensuring high-quality treatment outcomes for international patients.
Tanisha Suvarna
For You
April 01, 2026
14 minutes

12 minutes
Explore the best cancer treatment in Kerala with a detailed comparison of top hospitals, treatment options, expected costs, and how to choose the right care for your condition.
Tanisha Suvarna
For You
March 31, 2026
12 minutes

10 minutes
The cost of chemotherapy in India for international patients including price breakdown treatment types and factors affecting chemo costs
Tanisha Suvarna
For You
March 31, 2026
10 minutes

10 minutes
At karetrip, we manage the digital and physical logistics for thousands of international patients every year. We know exactly what top-tier Indian doctors need to see to give you a definitive answer. Here is your comprehensive, guide on exactly how to gather, digitise, and properly prepare your medical records for a flawless online specialist consultation.
Tanisha Suvarna
For You
March 30, 2026
10 minutes

10 minutes
A bone marrow transplant is not just a treatment decision it is a life-critical choice that depends on cost, expertise, donor availability, and long-term care.
Tanisha Suvarna
For You
March 28, 2026
10 minutes

10 minutes
At this critical juncture, dialysis can artificially keep the body running, but it is not a cure. The only definitive, life-restoring solution is a renal transplant. At karetrip, we understand that navigating a total organ failure diagnosis is one of the most terrifying experiences a family can endure. But fear is defeated by knowledge. Here is your comprehensive guide to help you spot early signs, the definitive tests to know you need a new kidney, and how to access the absolute highest tier of transplant surgery in India.
Tanisha Suvarna
For You
March 28, 2026
10 minutes

10 minutes
However, choosing the right facility among hundreds of options can be paralysing. At karetrip, we specialise in guiding Bangladeshi patients through this exact overwhelming process. We serve as your clinical compass and logistical shield, ensuring you reach the absolute best specialists for your specific diagnosis. Here is your comprehensive guide detailing the top 5 hospitals in India for Bangladeshi cancer patients, understanding what "success rates" actually mean, and discovering how our team ensures your medical journey is entirely seamless and secure.
Tanisha Suvarna
For You
March 27, 2026
10 minutes

10 minutes
At Karetrip, we serve as your dedicated logistical bridge to this world-class clinical care. We understand the emotional weight you carry, and we ensure that your journey across borders is completely seamless. Here is your comprehensive guide to understanding male infertility, discovering how Chennai Fertility Centre fixes these issues with rapid precision, and learning how our team protects your privacy and peace of mind every step of the way.
Tanisha Suvarna
For You
March 26, 2026
10 minutes

10 minutes
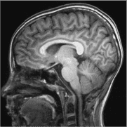
At karetrip, we specialize in guiding international patients through the complexities of advanced neurological care in India. We believe that empowering patients with medical knowledge is the first step toward a successful recovery. Here is your comprehensive guide to understanding the distinct scientific differences between MRI and CT scans, definitively answering which is the gold standard for brain tumors, and discovering how to access rapid, elite diagnostic care.
Tanisha Suvarna
For You
March 26, 2026
10 minutes

10 minutes
For international patients planning treatment in India, obtaining a Manipal Hospitals medical visa invitation letter is the first mandatory step. This official document confirms that a recognised hospital has reviewed your case and accepted you for treatment.
Tanisha Suvarna
For You
March 26, 2026
10 minutes

10 minutes
At karetrip, we specialize in designing flawless, end-to-end medical journeys for discerning international patients. We understand that our clients do not just seek medical treatment; they seek a secure, premium, and deeply supported experience. Here is your comprehensive guide to understanding the prestige of Naruvi Hospital, exploring the exclusive amenities of their VIP suites, and discovering how our team ensures your medical travel is perfectly seamless.
Tanisha Suvarna
For You
March 25, 2026
10 minutes

10 minutes
Here is your comprehensive, guide to understanding Avascular Necrosis, evaluating the best surgical options available in India, and learning how karetrip creates a flawless, stress-free medical journey for Bangladeshi patients.
Tanisha Suvarna
For You
March 25, 2026
10 minutes

10 minutes
A kidney transplant is often a life-saving procedure for patients with end-stage kidney disease. However, the cost of surgery, hospitalization, medications, and post-operative care can be a major concern for many patients and families. While India offers affordable kidney transplant options compared to Western countries, the total expense can still feel overwhelming when paid upfront. This is where kidney transplant EMI options become an important solution.
Tanisha Suvarna
For You
March 25, 2026
10 minutes

10 minutes
For international patients planning treatment in India, obtaining a medical visa invitation letter from an Indian hospital is the first and most essential step. Without this document, a medical visa application cannot be processed.
Tanisha Suvarna
For You
March 25, 2026
10 minutes

10 minutes
Planning cancer treatment in another country can feel overwhelming, especially when it involves travel, documentation, and critical medical decisions. One of the most important steps in this journey is obtaining a medical visa for cancer treatment in India.
Tanisha Suvarna
For You
March 24, 2026
10 minutes

10 minutes
When you consider IVF, one of the first questions that comes to mind is whether it will actually work for you. The answer depends on several medical and lifestyle factors, and understanding these in advance helps you set realistic expectations.
Tanisha Suvarna
For You
March 24, 2026
10 minutes

10 Minutes
At karetrip, our focus is on bridging the gap between Sri Lankan patients and India’s elite medical infrastructure. We provide the logistical armor so you can focus entirely on clinical outcomes. Here is a comprehensive, fact-grounded guide to understanding the actual survival rates, the realities of the surgery, and the unparalleled expertise waiting at top Indian hospitals.
Tanisha Suvarna
For You
March 23, 2026
10 Minutes

10 minutes
Travelling internationally with a sick infant or an immunocompromised child is an immense logistical challenge. The stress of securing medical visas, finding sterile housing, and navigating a foreign city can detract from the focus on the child’s healing. This is where Karetrip steps in as your dedicated medical travel partner. We build a protective logistical shield around your family, ensuring your journey is seamless.
Tanisha Suvarna
For You
March 23, 2026
10 minutes

10 minutes
At karetrip, we specialise in designing flawless, culturally tailored medical journeys for Arab families. We bridge the gap between your home country and India's elite medical infrastructure. Here is your comprehensive guide to understanding Minimally Invasive Spine Surgery, why Aster Medcity is the ultimate destination, and how our premium post-operative care ensures you return to the Middle East walking pain-free.
Tanisha Suvarna
For You
March 19, 2026
10 minutes

10 minutes
At karetrip, we specialize in transforming the daunting prospect of giving birth in a foreign country into a peaceful, highly organized, and deeply supported experience. We act as your extended family on the ground. Here is your comprehensive guide to understanding the immense value of consultant-led care, the clinical superiority of Dr. Humayun Hospital, and how our team seamlessly manages your family’s entire journey to welcoming your new baby.
Tanisha Suvarna
For You
March 19, 2026
10 minutes

10 minutes
Living with chronic hip pain can make even simple daily activities like walking, sitting, or climbing stairs extremely difficult. For many patients suffering from arthritis, injury, or joint degeneration, hip replacement surgery becomes the most effective long-term solution.
Tanisha Suvarna
For You
March 18, 2026
10 minutes

10 Minutes
At karetrip, we believe that educated patients are empowered patients. We dedicate ourselves to not only guiding you physically across borders but also demystifying the complex medical science behind your journey. Here is your comprehensive 1500-word 2026 guide to understanding the exact differences between Traditional IVF and ICSI, and why one stands out as the ultimate miracle for male infertility.
Tanisha Suvarna
For You
March 18, 2026
10 Minutes

8 minutes
At Karetrip, we are dedicated to shifting the focus from reactive cancer treatment to proactive cancer prevention. We seamlessly connect international patients to the most elite digestive health specialists in India. Here is your comprehensive 2026 guide to understanding exactly how a gastroenterologist detects GI cancers early, the advanced technology they use, and how Karetrip ensures your medical travel is completely stress-free.
Dr. Fazeela
For You
March 18, 2026
8 minutes
#14, 291 M, Sute 52 A, 1st floor A Square, Edathala P.O Kuzhivelippady, Ernakulam, Kerala - 683561
251, Little Falls Drive, Wilmington, New Castle Country, Delaware, US - 19808
Stay up to date with latest news and articles
©2023 karetrip.com All Rights Reserved.